2025-01-20 来源:14岁的女孩小美,误服了剧毒农药“敌草快”,短短几天的时间里,她从意识清醒到昏迷不醒,病情急转直下,生命危在旦夕。小美的家人从最初的轻视到惊慌失措,一度接到病危通知书,认为治疗已无意义。经过了近五天的抢救,她的家人决定将她转送至广州的重症医学科,为她争取那微乎其微的生还机会。经过医生们31天的生死搏斗,女孩最终奇迹般康复,走出了医院。
事件的起因是小美不小心误服了约30毫升的“敌草快”,最初她只感到腹部剧痛和频繁呕吐,家人误以为只是小小的不适,不以为意。直到症状越来越严重,才意识到事态的严重性。病情迅速恶化,小美的精神状态极度萎靡,无法自主排尿,四肢不停抽动。当地医院进行了急救,实施了洗胃和血液净化等紧急措施,但病情依然未见好转。家属被告知,小美的存活机会已经非常渺茫,接到病危通知书后,他们选择了转院,带着一线希望将小美送到广州。

转运过程中,小美的生命体征几乎无法测量,心率急剧飙升至189次/分钟,血压已经无法测定,血氧饱和度也处于极低水平。广州医院在接诊的第一时间,启动了绿色通道,迅速为她进行了全面检查。经过紧急评估后,医生们决定实施个性化的治疗方案,包括精细化液体管理、血液净化、肺保护及脑保护措施等。整个过程极其紧张,医生们争分夺秒,为小美的生命展开了一场生死较量。
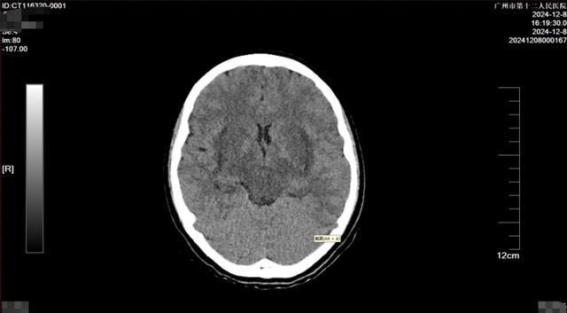
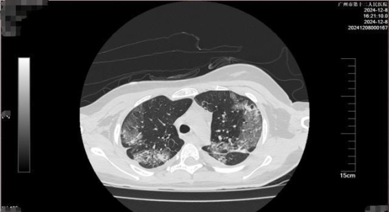
经过了2小时的紧急治疗后,小美的生命体征逐渐恢复稳定,血压和心率逐步上升。病情依旧严峻。小美的全身仍然出现了凝血功能异常,多个器官功能衰竭,中毒性脑病的症状十分明显。她全身各部位出现了渗血,特别是口腔、咽喉及气道内出血明显,这使得气管插管等医疗操作变得极其困难。但即便如此,重症医学科的团队始终没有放弃,对她实施全方位治疗。
随着时间的推移,小美的身体逐步恢复。第3天,她成功脱离了呼吸辅助设备;第10天,肾功能恢复,血液净化设备被摘除;第16天,她顺利转出了重症监护病房。经过31天的精心抢救,女孩的身体各项功能恢复正常,最终顺利出院,成功战胜了生死的考验。

专家表示,急性“敌草快”中毒的严重程度与摄入剂量有着直接关系。小美的情况,属于重度中毒。根据现有的医学理论和治疗经验,摄入少量敌草快的患者,可能仅出现轻微的肾功能损伤,并能完全恢复;而中度中毒则可能导致急性肾衰竭等多脏器功能障碍,三分之二的患者能够康复;但是一旦摄入超过一定剂量,患者会迅速进入多脏器衰竭阶段,死亡率极高。
医生提醒,在发生类似“敌草快”农药中毒的紧急情况时,尽早就医极为重要。如果能在早期采取有效的毒物清除措施,患者的生存希望会大大增加。反之,若患者未能及时得到处理,轻度中毒也可能迅速发展为重症中毒,错失治疗的最佳时机。在日常生活中,家长和成年人应当妥善管理有毒物质的存放,避免误食事件的发生,特别是要确保这些有毒物质远离儿童的接触范围。
小美的奇迹复苏,是无数医护人员通力合作的结果,也是每个急诊医学专家精湛医术的体现。从初诊到最后康复,医生们精心策划的救治方案无不体现出他们的责任心与专业水平。此次事件也再次提醒我们,毒物误服的严重性,只有通过及时而有效的干预,才能为患者争取到生还的机会。
熊导航官网,收罗天下等资讯。
2025年1月4日,南开大学与天津医科大学肿瘤医院在八里台校区海冰楼举行了签约仪式。此次签约仪式标志着两校在医学教育和科···
健康四川,一个多彩的地方,既有悠久的历史文化,又有丰富的自然景观。在这里,无论是饱览壮丽的自然风光,还是品味地道的川味美食,···
旅行海葬,将骨灰洒入大海的安葬方式,看似简单,却涉及法律、文化、心理等多重层面的问题。为何有的海葬费用高达万元,有的却免费?···
八卦1943年,国共两党合作之际,我党活捉了国民党高级将领韩德勤,却陷入了如何处理的困境。在这一危急关头,陈毅提出了一种出人···
头条新闻据北京房山微信公众号7月31日消息,当前,房山区大石河流域、拒马河流域已出现超标准洪水,沿线多处出现险情,请大石河、拒马···
头条新闻入冬后,气温骤降,大家纷纷开始迎合寒冷天气,调整日常饮食,迎来了一波“冬补”热潮。在这个时候,各类肉食成为餐桌上的主角,···
八卦资讯没想到,一个充满“科技与狠活”的鸭脖产品竟成为新晋网红,而这个奇迹的背后是曹氏鸭脖的巧妙征服。为何这种工业辣能够如此受追···
八卦资讯在这个被誉为最好时代的今天,人们的生活水平提高,娱乐方式多样,然而,清华大学历史系教授彭林却发出了一声深刻的警告:我们正···
八卦资讯人间烟火气,最抚凡人心!毫无疑问,厨房是一个家庭中最能彰显烟火气的地方,谁不想在结束一天的疲惫工作后,回到爱的港湾,吃上···
八卦资讯巨菌草,一种亩产30吨、可连续收割15年的作物,其高大雄壮的身姿令人瞩目。本文将深入探讨巨菌草的特殊之处以及其在荒漠治理···
八卦资讯Copyright © 2023 熊导航 本站资源来源于互联网 闽ICP备2021009118号-5 XML地图